Implant Dentaire Titane Danger

Implant Dentaire Titane Danger. Implants dentaires en titane ou en zircone ? • 123 Info Santé Dans cet article, nous allons explorer les risques des implants dentaires , les inconvénients et les problèmes potentiels pour vous aider à prendre une décision éclairée. L'implant dentaire en titane… Apparu dans les années 1980, en France, il faisait la grande fierté des chirurgiens-dentistes qui ne juraient que par lui : le titane, c'est l'avenir ! Avec le titane, pas de mauvaises surprises, c'est fiable à 100 % !

Les implants dentaires présentent des risques importants Aspros Sante Aspros Sante
Les implants dentaires présentent des risques importants Aspros Sante Aspros Sante from www.aspros-sante.fr

Dans cet article, nous allons explorer les risques des implants dentaires , les inconvénients et les problèmes potentiels pour vous aider à prendre une décision éclairée. Ainsi, pour faire disparaître toutes vos inquiétudes, n'est-il pas important de comprendre tous les dangers et les risques des implants dentaires en titane avant de prendre une décision éclairées et en fonction de vos intérêts ? Le plus grand risque des implants dentaires est celui de ne pas connaître les dangers et les risques !

Les implants dentaires présentent des risques importants Aspros Sante Aspros Sante

Il se peut cependant, dans de rares cas, que l'on doive enlever un implant devant l'échec de l'ostéointégration.. Néanmoins, il apparait dans de récentes études que le titane peut donner lieu à une toxicité et à des réactions allergiques immédiates ou retardées ce qui pourrait expliquer les échecs successifs d'implants dentaires qui surviennent chez certains patients De ce fait, l'implant est considéré par le corps un peu comme une vraie racine de dent

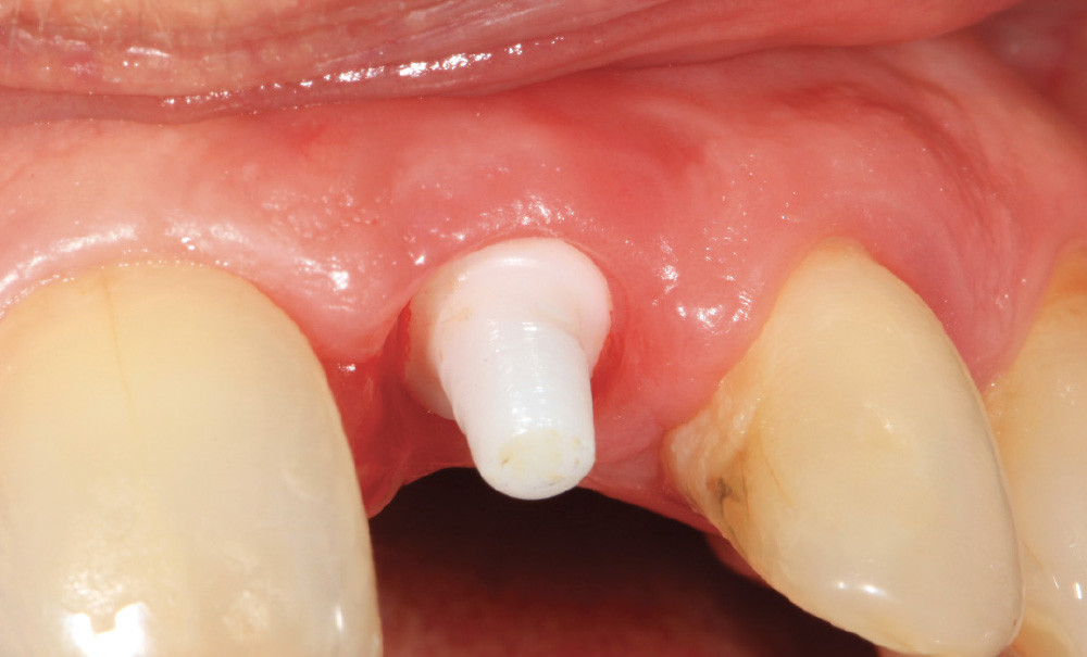
Implants Dentaires En Titane Maltepe Dental Clinic. Appliquez les meilleurs conseils de prévention et de gestion des risques. Les implants dentaires sont faits de titane, le seul métal connu biocompatible, c'est-à-dire toléré par un organisme vivant

IMPLANTS DENTAIRES ET ALLERGIE AU TITANE. L'implant dentaire en titane… Apparu dans les années 1980, en France, il faisait la grande fierté des chirurgiens-dentistes qui ne juraient que par lui : le titane, c'est l'avenir ! Avec le titane, pas de mauvaises surprises, c'est fiable à 100 % ! Depuis les découvertes du professeur Per-Ingvar Brånemark, le père de l'ostéointégration, les implants en titane ont été régulièrement utilisés pour les soins dentaires.